• जिला एवं जिला से बाहर भी की जाएगी निक्षय मित्र की खोज • गोद लिए गए टीबी मरीजों की हर महीने जारी होगी सूचि • निक्षय पोर्टल पर किया जायेगा निक्षय...
Author - Up Ki Awaaz
-कटोरिया प्रखंड की गोरगामा पंचायत के 15 मरीजों को अब तक पहुंचा चुकी हैं अस्पताल -मरीजों के ठीक होने तक करती हैं निगरानी, दवा बीच में नहीं छोड़ने की देती हैं...
मेरठ प्रान्त के पूर्व सह प्रान्त प्रचारक एवम वर्तमान में दिल्ली में संगठनके सहयोग से संचालित संकल्प कोचिंग के संगठन मंत्री श्री कन्हैया जी भाई साहब एवम बहिन...
– राज्य स्वास्थ्य समिति के कार्यपालक निदेशक ने पत्र जारी कर प्रदेश के सभी डीएम और सीएस को दिए निर्देश – उपलब्ध दवाई का सेवन सुनिश्चित कराने को लेकर...
– 11 नवंबर को आयोजित किया जायेगा मॉपअप दिवस – राज्य स्वास्थ्य समिति के कार्यपालक निदेशक ने पत्र जारी कर दिए निर्देश मुंगेर- मुंगेर सहित...
–जिले में नाइट ब्लड सर्वे का काम जल्द ही किया जाएगा शुरू -सात नवंबर से पहले नाइट ब्लड सर्वे का काम किया जाना है पूरा भागलपुर- जिले में फाइलेरिया उन्मूलन...
-अस्पताल का बारीकी से किया निरीक्षण, एक-एक चीजों की ली जानकारी -निरीक्षण में कायाकल्प की टीम अस्पताल की व्यवस्था से संतुष्ट दिखी भागलपुर- कायाकल्प की टीम ने...
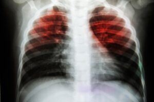
– लक्षण दिखते ही तुरंत कराएं जाँच…क्योंकि, अब टीबी लाइलाज नहीं, पर समय पर इलाज शुरू कराना जरूरी खगड़िया, 13 अक्टूबर। टीबी एक संक्रामक बीमारी...
– बड़ी संख्या में मरीजों की हुई स्वास्थ्य जाँच और इलाज, दिए गए चिकित्सा परामर्श – शिविर में मरीजों को उपलब्ध करायी गई समुचित स्वास्थ्य सेवा, जाँच...
– डिप्थीरिया के लक्षणों की जानकारी और नियमित टीकाकरण से बचाव संभव – डिप्थीरिया का टीका केवल नवजात शिशु के लिए ही नहीं किशोरियों और...








